|
|
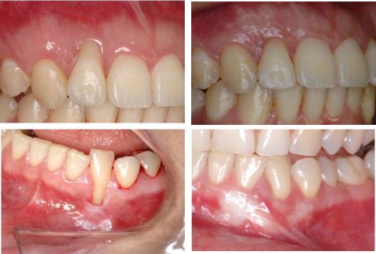
• Periodontia
É a área da odontologia que trata das enfermidades da gengiva, osso alveolar e estruturas adjacentes, dentes com mobilidade e retrações de gengiva.
Alguns procedimentos executados pelo dentista clínico geral: Aplicação de flúor, limpeza Dental (Profilaxia), raspagem de tártaro, remoção de cáries, atendimentos de urgência, pequenas restaurações, ajustes e polimentos de restaurações, orientações de técnicas de higiene bucal.
|